眼瞼下垂・立ち耳・大江橋マジック|大江橋クリニック公式サイト トップページ

瞼のたるみ耳の変形美肌レーザー

大江橋クリニックの瞼の手術 大江橋クリニックの耳介形成手術 大江橋クリニックのレーザー治療
大江橋クリニックのイメージ写真:赤い薔薇

あなたのお悩みは何ですか?(概要を読む)↓

瞼のたるみ取り・眼瞼下垂・傷痕なおし・重瞼手術など瞼に関するお悩みは…
男性重瞼切開法術前 大江橋クリニック 男性重瞼切開法術後 大江橋クリニック
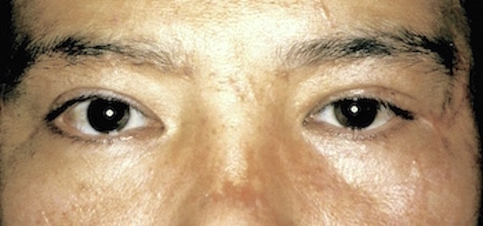
眼瞼下垂症術前 大江橋クリニック 眼瞼下垂症術後 大江橋クリニック
男性重瞼切開法術前 大江橋クリニック 男性重瞼切開法術後 大江橋クリニック
男性顔面外傷瘢痕術前 大江橋クリニック 男性顔面外傷瘢痕術後 大江橋クリニック
眼瞼瘢痕他院修正術前 大江橋クリニック 眼瞼瘢痕他院修正術後 大江橋クリニック
眼瞼下垂症術前 大江橋クリニック 眼瞼下垂症術前 大江橋クリニック
眼瞼下垂症術前 大江橋クリニック 眼瞼下垂症術前 大江橋クリニック
スタール耳術前 大江橋クリニック 耳介軟骨膜炎後の変形 大江橋クリニック 耳介ケロイド術前 大江橋クリニック 耳介ケロイド他院治療後 大江橋クリニック スタール耳術前 大江橋クリニック
柔道耳術前 大江橋クリニック 小耳症(軽症)術前 大江橋クリニック 先天性耳垂欠損術前 大江橋クリニック 柔道耳術前 大江橋クリニック 先天性耳垂裂術前 大江橋クリニック

レーザーを駆使して健康で美しい肌を育む

  • さまざまな肌の悩みを総合的に治療しています
  • トラブルの起こりにくい肌を育てていきます
  • 定期的に通うとどんどん健康な美肌になります
レーザー照射 レーザー照射 レーザー照射

大江橋クリニックの美肌レーザー治療は
他のクリニックと何が違うのか

しみ、ほくろ、目元のたるみ、頬のくすみ、ハリがなくなった、ほうれい線が気になってきた、額のしわが深くなった、赤みが消えない、眉の高さが違う、鼻がテカる、毛穴が目立つ…。きっかけやお悩みはなんでもいいのです。まず相談してみましょう。なんとなく気になっていたこと、疲れているのか、歳のせいなのかとあきらめていたことが、レーザー治療で改善できることを知って、驚くかもしれません。

皮膚科専門医がお肌を診察して、
あなたに合った治療プログラムを組み立てます

大江橋クリニックでは、美しく白く引き締まった、健康で若々しい肌を目指して、まずあなたの美を損なっているものが何かを2名の医師が詳しく分析します。職業・地位・ライフステージに応じたあなたにふさわしい改善法を考え、生き生きとした目の輝き・溌剌としたハリのある肌を実現する手段として、レーザー光の物理・化学的効果を駆使し、ターンオーバーの時間を短縮しあなたに本来備わった自然治癒力、免疫力を利用してあなたの個性を引き出していきます。
大江橋クリニックの美肌レーザー治療は、治療費ごとに決まったプログラムで施術スタッフがメニューの順番にレーザー光を肌に一通り照射するだけの施術とは全く違います。どのような治療かはこの下のリンク先にわかりやすく説明しています。
「大江橋クリニックについて」の中の「美肌レーザーコースは人数限定です」という項目は、大江橋クリニック独特の治療イメージが伝わるような書き方でまとめています。下の「大江橋クリニックの美肌レーザー治療」はもっとレーザーや大江橋クリニックについて深掘りしたい方のために様々な情報をたくさん載せています。中のリンクを辿って読み進めていくと、レーザー治療に対するイメージが変わるかもしれません。

※ もっと詳しく知りたい方は下の説明を続けてお読みください

レーザー治療は痛いの? ダウンタイムはありますか?

大江橋クリニックの美肌レーザー治療は、基本的には、肌の表面をキズつけるような波長を使用しません。美白、メラニン減少、赤み対策、毛細血管治療、うぶ毛の減少、コラーゲン増加などに効率的に作用するように工夫していくつかの波長を組み合わせてレーザー照射をしますので、色黒の人、クスミがはっきりとしている人、お肌が荒れている人の場合は、チクっとした痛みを感じることがあります。しかし、ヤケドではないため後に残る痛みではありません。
クーリングしながら照射するので、赤みが出ても一過性で通常はその日のうちに引いてしまいます。大江橋クリニックの美肌レーザーは、痛みに弱い方も受けていただけるよう工夫していますので、心配でしたらご相談ください。クーリングの強弱を調節いたします。痛い場合は十分にクーリングしながら、1ショットずつゆっくり照射すると刺激を感じにくくなります。治療を重ねるごとにキレイな肌になり、お肌も荒れなくなります。そうなればほとんど痛みなく美肌レーザー治療をお受けいただけます。回数を重ねると、高いエネルギーで治療していてもレーザー治療中に眠ってしまう方もいます。

痛いレーザー治療もありますが特にお勧めしてはいません

大江橋クリニックの美肌レーザーコースは基本的にはほんのり赤くなる程度でダウンタイムなくそのまま化粧して帰れるマイルドな治療です。それでも顎周りの引き締めなどの治療を行ううちに口周りや頬の産毛などはいつの間にか気にならない程度に減っていきます。ホクロや小さなイボも徐々に目立たなくなります。

※ そうはいってもどうしてもこのホクロやイボは早めに取ってしまいたい、という方には、その部分だけ小さなスポットで強く治療することもできます。基本的にはコース内でショットを振り分けますが、状態や数によってはきちんと麻酔をしてダウンタイムのある治療を、別料金で行うこともあります。

炭酸ガスレーザー(CO2レーザー)など細胞を蒸散して肌表面に穴をあけ削る波長は、美肌レーザー治療には基本的に使いません。美肌レーザー治療コースの醍醐味(だいごみ)は、ダウンタイムがないので誰にも知られずにこっそり治療できることにあると考えています。通っているうちに何かしらキレイになってきた。コツコツつづけると、どんどんキレイになってくる。「痩せた?」「どんな化粧品を使っているの?」「この頃調子が良さそう」などと言われ始める。そのうち「キレイ」が当たり前になってくる。もちろん日焼けの後にも、大事なお出かけの前にも、急なトラブルの解消にもおつかいいただける、そんなコース設定です。

美肌レーザー治療の主眼は、お肌の奥のコラーゲンがあるところ、メラニンがあるところ、血管があるところ、赤みがあるところなどをターゲットにし、そこにレーザーの波長を届かせて、皮膚表面はキズつけない治療です。終了直後にお化粧もしてご帰宅いただけます。

レーザー脱毛は別料金ですか

腕や脚、腋などのいわゆる医療レーザー脱毛は、美容レーザーとは別にお時間を設定して受けていただきます。必要な時間に応じてそれぞれ規定の料金がかかります。もちろん全てに部位に対して医師が直接患部を観察しながら照射しますので危険はありません。

お顔の場合、美容レーザーではフルフェイスにレーザーを照射するため、その一部を脱毛に適した照射法に変えてコース内で照射することができます。特に女性の場合、気になる口周りの産毛や生え際などは美容レーザーで薄くなりますので、改めて脱毛コースを選択いただく必要はありません。

男性の髭脱毛に関しては、一気に減らしたい場合や美肌効果を上げたい場合は、初めに1〜2回程度しっかりと脱毛レーザーを照射してから通常の美肌コースに移って治療を続けると効果的です。髭剃りに伴う肌のトラブルが減り、日常のお手入れも非常に楽になります。

大江橋クリニックで行うレーザー治療のまとめ

大江橋クリニックのレーザー治療は三種類
脱毛やイボ・シミの治療などは美肌レーザーコースと組み合わせて同時に受けていただくことができます。費用もお得でおすすめです。

以下にそれぞれのレーザー治療の説明があります

それぞれのレーザー治療に関しては、以下のページを初めとしてかなり詳細に説明しています。リンクを辿ってお読みいただくと、レーザーがどのような光であるのかという理解が深まり、大江橋クリニックがレーザーを使って何を実現しようとしているのか、他のクリニックとはどのような点が異なるのかが理解していただけると思います。解説は完成した文章ではなく、毎日見直しては少しずつ表現を工夫して書き換えています。リンク先はどんどん充実させていきますので参考にしてください。

重要: レーザーは必ず経験豊富な医師(院長・副院長)が照射します
※ 治療に応じてレーザーの組み合わせを変更します 大江橋クリニックのレーザー室風景 大江橋クリニックのレーザー室風景

大江橋クリニックの医師たちはレーザー治療の経験が非常に豊富です

大江橋クリニックの院長は、各種の医療用レーザー機器が日本に導入され、全国に普及し始めた1990年代はじめからもう30年以上、自らハンドピースを握って直接患者さんのレーザー治療に携わってきました。
現役の医師としては最もレーザー治療経験の長い、日本におけるレーザー治療の黎明期を直接知る医師の一人です。

副院長も医師になって以来長く美容レーザー治療に従事し、自らの経験をもとにレーザーを中心とする複合治療コースという、それまで世界のどこにもなかった治療法の開発にあたってきました。

大江橋クリニックのイチオシ治療である大江橋マジックお肌デトックスといった複合レーザー治療は、そうした治療の概念がまだ存在していなかった時代に、世界に先駆けて副院長が考案し、効果を確かめながら院長と二人で絶えず内容をブラッシュアップしつつ治療を行なってきました。今年も内容は大幅に改良され、15年前と同じ名前でありながら格段に治療効果が高くなっています。

いくつかのレーザーを組み合わせて同じ日に照射する、という似たような考え方に基づく治療は、今では全国の様々なクリニックで受けられるようになりました。しかし多くの施設では医師以外の施術であったり、医師が直接治療にあたる場合でもレーザー会社の提供するマニュアルに沿った決まったやり方での照射であることが多いように思います。直接肌の反応を見ながら臨機応変に治療の組み合わせや順序、ショット数や光の強度を変えることで、副反応を抑えながら効果の上がる治療を行うことのできる施設は今なお限られているようです。

毎月通っていただけることを意識した料金設定でありながら他にない高品質の治療を行なっていることは、大江橋クリニックのレーザー治療の最大の特色かもしれません。

項目トップへ

イメージ写真

診療メニューについて

大江橋クリニックの手術は全て院長が行っています。限られた診療時間の中でなんでも引き受けるより、本当に自信のある分野だけを提供した方が社会に貢献できると思うようになり、お引き受けする手術の範囲をどんどん少なくしています
他の医療機関でもできる手術はできるだけ他のクリニックにお任せし、大江橋クリニックで手術する方が良い結果を出せそうと思える場合だけ手術をお引き受けしようと思います。
それ以外は相談のみを行うことにしました。知識がリフレッシュできている分野であれば各種の治療法のメリットやデメリット、どう言った治療が向いているかなどセカンドオピニオンのご相談に応じますのでお気軽にご相談していただければと思います。

具体的には、脂肪吸引や豊胸などボディスカルプティング的なものは現在行っていません。
鼻の手術や陰部(性器)の形成、わきがの手術、レーザーによる刺青治療なども、わざわざ大江橋クリニックで行うメリットがそれほどないと考えます。
埋没法による重瞼手術やフェイスリフト手術なども現在はお受けしていません。
注入物による治療(ヒアルロン酸注射など)は安価に受けられる施設が沢山あります。症例の多いところで無難な結果を得た方が良いのではないでしょうか。

耳と瞼の形成手術はこだわっています

初代大江橋クリニックの手術室風景

耳介形成術など耳の外観を整える手術まぶたの美容的な手術(眼瞼下垂症手術などを含む)には一日の長があると自負しており、これらの分野を主にやっていきたいと思っています。詳細については上記の各項目を参照してください。
特に耳介の形を正常に近づける手術に関しては、実際に良い成績を上げている医療機関は全国的にも少ないようです。通える範囲で探したがどうしても見つからなかったからと北は東北をはじめ関東甲信越、西は中国四国九州からお越しになる患者さんがたくさんいます。こうした患者さんのために時間を有効に使いたいと考えています。
耳と瞼以外では、乳輪乳頭形成や傷跡の仕上げ手術、他院での術後経過に納得できないまま治療終了になってしまったケースなど、大江橋クリニックでお引き受けすべきと考えた場合にお引き受けしています。お近くの医療機関の治療で十分に効果が望める場合は診察だけで終了することがあるのでご了承ください。

初代大江橋クリニックの手術室入口風景

美容医療では時に患者さんの希望を優先するあまり、正常な機能を破壊して外見を優先する手術が行われることがあります(いわゆるタレ目手術や目尻切開などが代表的です)。大江橋クリニックでは美容医療は健康を損なってまでするものではないと考えていますので、こうした手術は特に理由がない限り行っていません。できる限り健康を損なわない範囲での最善の治療を提供しています。
患者負担の軽減を名目に、医師が手を抜ける簡単な手技を勧める医療機関もありますが、手軽さよりも確実性を重視します。
術後のガーゼやテープはガッチリと固定しますので目立ちます。その日の快適さより、年月を経て長持ちする結果を。最終的な自然さにつながる治療を目指しています。下に挙げたのは一例です。今後ページを増やしていきます。

美容皮膚科の診療方針

美容皮膚科は、肌を若々しく保つレーザー治療や正しいスキンケアの方法などを医学的な検証に基づいて提供します。

大江橋クリニックでは美容医療を、人生をより健康で美しく、若々しく過ごすための予防的、健康増進的医療と考えています。

瞬間的、刹那的な美を追い求めるあまり、その場は改善したように見えてもその後の長い人生に傷を残すような破壊的治療は行なうべきではないというのが私たちの考えです。異物の注入や、後々必ず修正が必要になるような施術は行いたくありません。

最新ではなく最善の治療を目指します

大江橋クリニックは美容診療に真剣に取り組んでいます。
ただし、最新の治療をなんでもやるというクリニックではありません。
理論的に正しく効果が確かめられているものだけを、慎重に選んで行っています。怪しげなもの、しなくても良い治療、健康に害を及ぼす可能性のある治療は避けています。

大江橋クリニックの美容専用待合室 大江橋クリニックの美容専用待合室

※ 写真は現在地に移転する前の美容レーザーの待合室の様子です。今はより快適にお過ごしいただけるようになりました。

まず一度美容診察を受けてみてください。
私たちは正確な診断を行うための「診察」が最も大切と考えており、診断なしの治療ほど有害なものはないと思っています。
大手の美容クリニックによくある集客のための無料相談や医療知識の乏しい無資格カウンセラー等によるセールストーク等は一切行いません。自費の初診料は税込5,500円です。診察料に見合うだけの内容はあります。
どんな相談ができるのかは、他のページを参照してください。

アファーム

最新は最善ではありません

美容医療では時に「最新の」と銘打って、効果のあやふやないかがわしい治療を患者さんを実験台にして行われることがあります。いわゆる「先行者利得」として、「最新の〇〇治療!」「韓国で大人気の〇〇注射!」などとキャンペーンを打って効果の不確かな治療を高額で行う例が後を絶ちません。
大江橋クリニックでは美容医療は若さと健康を保つ予防医療でもあると考え、最新ではなく最善の治療を提供しています。美容を目的とする医療には保険適応がありませんが、保険外診療も医学的根拠のある安全な医療を提供するという治療の方針・方向性は変わりません。自分で費用を負担するのですから、堂々となりたい自分を目指しましょう。

なぜ実験台になりたがるのでしょう?
既存の美容医療に飽きたらない人が、新しいものを試してみたくなる気持ちもわからないではありません。
しかし、最新の機械、最新の治療法の多くはアイディアだおれで理論通りの効果を出せず、1〜2年で廃れ、消えていきます。中には多くの被害者を出したり、理論自体が否定されたりするものもあります。
大江橋クリニックでは、新しいものはまず疑いの目で見ます。1年か2年様子を見て、副作用報告や失敗例の学会報告が出揃うのを待ちます。多くの施設で安全に使用でき、特に危険な要素がないものだけを慎重に取り入れていきます。
大江橋クリニックでは最新の治療は受けられません。それが信頼と安心につながるのだと考えています。

副院長(小川基美医師)の一人一人の診察に時間をかけた親身で丁寧な診察には定評があります。

日本皮膚科学会のマーク 日本アレルギー学会のマーク

副院長の小川(女医)は日本皮膚科学会認定皮膚科専門医であると同時に、日本アレルギー学会認定アレルギー専門医(皮膚科領域)でもあります。
また日本形成外科学会の会員で日本臨床皮膚外科学会専門医も取得しており、もちろん各種の手術を含め皮膚外科領域の技術も持っています。形成外科手術は研修医時代から著名な形成外科の名医たちに直接指導を受けました。

大江橋クリニック副院長の専門医一覧

以前は日本レーザー医学会にも所属し、レーザー治療分野でも長い経験があります。また日本美容皮膚科学会、日本香粧品学会、日本皮膚アレルギー接触皮膚炎学会、日本スポーツ医学会など多くの学会にもかつて所属し各種資格を持っていましたが、全ての資格を維持するには学会出席だけでなく論文執筆や研究などに多大なエネルギーを必要とします。論文や学会発表などに力を注ぐより、日々の診療で患者さんのお悩みに精力を集中する方が世のためになると考え、一部資格の更新は中断しました。(開業当時は他院にならって各専門医証書を診察室前に掲示していましたが、現在はやめました。)
現在は皮膚科・アレルギー科の分野に絞って勉強を続け、年に何回も行われる学会の学術集会や講習会にも頻繁に出席して知識を新たにしています。以前は1週間の診療を終えた週末に全国で開かれる学会に参加するため最終の新幹線や飛行機でトンボ帰りの出張する日々でしたが、コロナ禍によりネット上で会議や講習会に参加できるようになったため、最近数年はむしろ参加頻度を増やすことができるようになりました。これだけはコロナ蔓延社会の良い方向への変化かもしれません。 各種の専門書もAmazonなどでほぼ即日入手できるようになり、勉強もしやすくなりました。多方面の知識に裏付けられた総合力は健在です。まず一度診察を受けてみてください。わかりやすい説明と情熱的な診療にハマる患者さんも少なくありません。

ひたいのニキビ治療前by大江橋クリニックのレーザー治療 ひたいのニキビ治療後by大江橋クリニックのレーザー治療

ニキビ治療の一例(皮膚科治療と複合レーザー治療の組み合わせ)

ニキビはなぜ次々とできてくるのか

診察に時間をかけることによって 初めて見えてくるものがある

いつも車で通り過ぎる道を、ゆっくりと時間をかけて歩いてみてください。今まで目に止まらなかった風景が様々に五感を刺激する事に驚くでしょう。こんなところにこんな建物が、記念碑が、祠や石仏が、あった事に初めて気づくでしょう。

正確な診断から全てが始まります。患部の詳細な観察なしに治療は開始できません。患部を観察し、触って、拡大写真を含め何枚も写真を撮ります。患者さんにもご自身の指で患部を触ってもらったり、その場で写真を見てもらって説明します。この方針はどの病気・症状についても同様です。電話やメールでの診療内容に関するご相談は基本的にお受けしていません。症状を実際に見せて頂き、治療法については診察時に詳しく説明します。医師が患者さんの肌に軟膏を塗りながら塗り方を説明する、tん媚薬や目薬の使い方を直接指導するクリニックは少ないと思います。患者さん自身が治療方針や治療法を理解して日々正しく実践していただかないと、良い結果は出せないと考えています。

顕微鏡(イメージ写真)

大江橋クリニックの診察は長い!初診はもちろん、経過の長い患者さんでもじっくりお話を伺って、もう一度患部を見直して、なぜこの症状が引き起こされたのか、原因の究明にも力を注ぎます。なぜ良くならないのか問題点を洗い出します。使っていた薬、前医の治療と経過、生活習慣や日常使用している化粧品、サプリメントなど、詳細に検討します。当たり前に毎日していることの中に原因が潜んでいることが多いので、人によっては毎回しつこくサプリは?趣味は?ペットは?仕事は?洗顔の仕方は?と色々なことをお聞きします。

今までの治療経過を詳しく教えてください

少しでも効率的に診療を進めるため、ご自身でも経過をできるだけ詳しくまとめ、予約フォームの問診欄には全てを正確に記入してください。どこの病院でどんな薬を出されたのか、いつからいつまで、何日間塗ったのか、変わらなかったのかよくなったのにぶり返したのか、最初にできたのはどこ?その時痒みはあったのか、等々。思い出せるだけ詳しく書いてください。長い文章は苦にはなりません。
言いたくない、わからない、忘れた…。前医とトラブルになったり信頼できなくなったりした場合は思い出すことも嫌な場合もあるかもしれません。それでもできるだけ詳しく思い出してください。情報が少ないと正しい作戦計画が立てられず、治療効果が得られないことすらあります。詳しいことがわからないままとりあえず、の治療は行わないほうが良いこともあります。

軌道修正は素早く

症状は短期間にどんどん変わっていきます。症状の変化の方向性から難病の初期の兆しに気づき専門医に紹介して救命できたり、他の専門医が見逃していた微細な症状を重視して保険適応のない特殊な検査をあえて実施し、得られた結果から重症化を予想してほぼ無症状のうちに大病院に紹介でき、結果的に大事に至らなかった例は少なくありません。最初のうちは数日毎に見せていただき、改善度によって薬を変えていきます。皮膚科の薬の効き目は個人差が大きいのです。みんなが同じ薬で治るわけではありません。あなたにふさわしい組み合わせが見つかるまで通ってください。そんなふうだから、いつも診察では話をいっぱいして写真をたくさん撮ります。よろしくおつきあいください。

他にも様々な治療を行なうことができます。

肩のケロイド 頬の大きなホクロ 酒さによる鼻の血管拡張 いわゆる出臍

様々な疾患の例。ここには挙げていない治療も色々あります。お困りの症状があればまずお問合せください。

皮膚のトラブルに関しては大抵のことは相談できます

経験豊富な形成外科医と皮膚科専門医が協力して、美容的な皮膚の相談に応じています。二人とも様々な経験を積んでいますので、かなり色々なことに対応できます。
大江橋クリニックでは全身麻酔を必要とする大がかりな手術や、特殊な機器や機材を必要とする検査などはできませんが、二人の人脈を生かして、その方にあった医療施設のご紹介もしています。

名医をたくさん知っています

大江橋クリニックの近所には関西電力病院、住友病院、北野病院など高度な医療を提供できる優れた総合病院があります。形成外科・皮膚科領域だけでなく、様々な科の部長や専門医と交流があり、必要に応じてそれらの病院の適切な診療科をご紹介することができます。
場合によっては眼科、耳鼻科、整形外科、乳腺外科、神経内科、精神科、血管外科、消化器内科などのそれぞれ経験豊富な先生に直接ご紹介することもあります。また二人の母校である京都大学、関西医科大学にご紹介する場合もあります。

体の表面の病気や異常に対応できます

皮膚だけでなく毛髪や爪、さらには血管や脂肪組織、時には筋肉や腱なども治療の範疇に入ることがありますが、原則的には皮膚表面から見える部分の美容的なお悩み全般に対応するクリニックという理解をしていただけたらと思います。

TOP NEWS : 随時更新します ↓

本サイトはPCモニタなどの横幅の広い大画面で見てもメインの表示領域の横幅が広くなりません。近年流行のリキッドデザインを廃し、横幅を最大600ピクセルに制限しています。表示される幅が狭いので大画面表示に慣れた方は古臭く感じ違和感を持たれるかもしれませんが、文字の読みやすさを優先した結果です。
明視距離から画面を見る際に視野角が広いと、文章を読む際に1行が長くなって読みにくく疲れるためです。新聞社のニュースサイトなど、記事を読ませるタイプのサイトも、本文部分の幅は同程度になっており、周辺には広告が配置されています。当サイトには広告は一切表示されませんので、左右の余白は少し明度を落とし、目が疲れないようにしました。

当サイトは一般的な美容外科等の集客用宣伝サイトと異なり、イメージ写真による集客を目指していません。正しい医療情報をできる限り読みやすい文章で詳しく説明することを目的としています。
情緒的な表現を避け、論理的で誤解の生じにくい文章を目指すと、どうしても文章が長くなります。長い文章をできるだけストレスなく読んでいただくために1行の文字数が長くなりすぎないようにしています。
環境にもよりますが1行35〜40文字程度で改行されるようにしたつもりです。
長い文章が読みやすくなるように明朝体を採用しました。(残念ながらアンドロイド端末には元々明朝体がないようです。)基本はMacに標準採用されている「ヒラギノ明朝体」としました。Windowsではヒラギノ明朝体がインストールされていない場合「游明朝体」で表示されるようにしましたが、この書体は標準の線幅が細くWindows用モニタではかすれて見える場合があるため、ウェイトを少し太く(500)指定しています。読みづらい場合はPDFに変換して印刷してお読みいただくと良いかもしれません。
説明用に添えられた写真等は、必要であればある程度の拡大にも耐える程度の解像度にしてありますが、クリックして拡大するようにはなっていません。コピーして保存することはできますが、私的使用に限られます。直接リンク等を張ったり、他のサイトにアップロード等はしないようにして下さい。
現在、章立て、2段組等の印刷に適したデザインも試作していますが、まだ完成していません。

大江橋クリニックは主な診療範囲を瞼と耳の美容手術・レーザー治療に絞り、自費診療中心の診療体制となりました。
美容診療で通院されている患者さんに限り保険診療のご相談をお受けします。
詳しくは 上のリンク先に記載しています。

※ 美容レーザー等で定期的に通院している患者さんは、お知らせした最新のパスワードで大江橋クリニック【公式】予約サイトの会員ページが利用できます

会員専用ご連絡フォームも改良しました

パスワードは随時更新します。診察の際に最新のパスワードをお知らせします。

【重要:新型コロナ】院内はマスク着用です

※ 適切なマスクをお持ちでない方は近くのコンビニ等で受診前にお買い求めください。

1)各種感染症の流行は依然続いており危険性や予防法は変わりません。不織布製マスクを適切に着用していない方はクリニック内に入れません。

2)診察や頭頸部等の手術・処置、美容レーザー治療等の際には換気、対人距離の確保に注意を払っています。

3)普段から不織布マスク着用、手の消毒、混雑した飲食店の利用を避ける等、ご自身でもできる限りの予防策をお願いします。

❗️ 症状のある方、濃厚接触の疑いがある方は感染の恐れがなくなるまで受診をお控えください。具体的には予約時の返信メールの指示に従ってください。

コロナウイルス自体の感染力が低下したり感染危険期間が短縮したわけではありません。特に軽症化もしておらず、若年の死亡例も出ています。けっして風邪と同じではありません。また、後遺症(ロングCOVID)に注意が必要です。一旦感染すると認知機能に障害が残ったり、他の疾病発症のリスクを高め老化を促進し死亡率を上げたりするリスクがあります。現状を正しくご理解ください。

【重要:自動精算機 】お支払いは現金のみです

大江橋クリニックの自動精算機

大江橋クリニックの自動精算機はクレジットカードその他のキャッシュレス決済には対応していません。十円以上の硬貨と紙幣のみ投入可能で、釣り札は千円札のみです(仕様上5千円札はお返しできません。)あらかじめ現金を多めにご用意ください。
※ 近所のコンビニ等にATMがあります。
保険診療・自費診療とも診療終了後現金でお支払いください。紙幣は1枚ずつ入れてください。5円硬貨、1円硬貨は使えません。同種の硬貨20枚以上のご使用はエラーとなることがあります。
事前精算可能なものについては銀行振込をご利用いただくこともできます(振込先は必要に応じてご案内します。)

キャッシュレス精算についての考え

政府は現金(紙幣・硬貨)の使用を減らし、キャッシュレス中心の取引を推奨していますが、キャッシュレス取引は売買双方の個人情報が電子的に記録される取引です。政府は電子家計簿の普及や請求書・領収書の電子化などを通じて、国民一人一人の経済活動を個人情報と紐づけて記録し、国家として全ての経済活動を管理する政策を強化しています。キャッシュレス社会は、国民各個人が何を買いいくら消費するかを国家が管理する社会と言えます。NISAなどで預金を証券化するのもそのための施作です。大江橋クリニックは、個人の経済活動はプライバシーとして保護されるべきだと考えており、現金精算が最も安全な取引形態だと考えています。

【入荷困難なお薬について 】

皮膚科・アレルギー科の治療薬は出荷調整で入手困難なものが少なくありません。継続的な入手に向け努力していますが、前もってご連絡フォーム等で希望をお伺いしていない場合、ご希望に添えない可能性もあります。
大江橋クリニックは院内処方で診察時にお薬をお渡しすることを基本にしていますが、状況により処方箋を発行し最寄りの処方箋薬局をご利用いただく場合があります。一部の薬剤については薬局にも在庫がない場合もあります。ご理解ください。

後発品(ジェネリック医薬品)処方強制についての考え

政府は高価な医薬品(先発品)の使用を減らし医療費抑制を図っていますが、これは医療にかかる予算を削減するには今後国民の医療水準が大幅に下がっても良いという考えに基づいた政策です。先発医薬品が適正価格で売れず開発費用が回収できなくなれば、製薬会社は開発意欲を失い医薬品における医学の進歩は遅れます。海外の優れた医薬品も日本には入ってこなくなります。既に健康保険制度では高い医療水準を維持できなくなっています。皆さんが自分の健康を守るためには、健康保険は最低水準の社会福祉と割り切り、自由診療でより良い医療を求める方向に意識を切り替える必要があります。自費診療は悪徳なぼったくりではなく、適正価格を支払うことで良質な医療を手に入れる機会と捉えていただきたいと思います。

【マイナ】マイナ保険証も使用できます(スマホ未対応)

スマホに読み込んだマイナンバーカードを保険証として利用する設定がまだ完了していません。
従来の保険証・資格確認証の有効確認はオンラインで即時行えます。
マイナンバーカードまたは保険証/資格確認証は受診ごとに毎回ご用意ください。

大江橋クリニックのマイナンバーカード顔認証装置

❗️カードリーダー(受付機)をご利用の方は受診時に使用方法をご相談ください。

マイナンバーカードは診療の都度ご自身でカードリーダーにセットしてお手続きいただきます。

大江橋クリニックのQRコードリーダー ※ お預かりして手続きを代行することは規則で禁じられています。

再診の方(前回と保険証情報に変更のない方)はクリニックで発行したQRコードで受付できます。詳しい使い方は診察時にご説明します。

マイナンバーカードをご利用になる場合、あらかじめ保険証としての利用登録を行なっていただいた方がスムーズです。受付時の新規登録も可能ですがやや時間がかかります。

🚫 口唇のみの治療は行いません… ▶︎

口唇周囲・口腔粘膜のトラブルのみの診療(口唇のレーザー治療を含む)は行ないません。理由は上のリンク先に記載しています。

外国語での診察は行なっていません … ▶︎
     🚫 foreign language unavailable

通訳付き診療もお断りしています。患者さんご本人のみの対面診療を日本語で行います。理由は上のリンク先に記載しています。

大江橋クリニック【公式】サイト情報

当サイトの文章は全て院長個人が執筆し、デザインも自作です。
サイトリニューアル中のため一部のページの表示が乱れています。詳しくは下記をご覧ください。

上記は医療広告等の規制に関する通知(医療機関等ホームページガイドライン)に関する大江橋クリニックの意見表明です。ご自身の病気やトラブルを解決するために当サイトを利用する患者さんや一般の方は読まなくて大丈夫です。

制作・著作 大江橋クリニック院長 井上 (けんな)

略歴:京都大学医学部卒業 京都大学形成外科学教室同門会所属
京都大学医学部附属病院、Marienhospital Stuttgart(ドイツ連邦共和国)、国立療養所千石荘病院、兵庫県立尼崎病院、岸和田市民病院、京都桂病院、城北病院、冨士森形成外科、大城クリニック(順不同)などを経て2007年大江橋クリニックを開院
会員等:日本形成外科学会・日本皮膚科学会・日本耳介再建学会
京都形成外科医会・大阪府医師会
形成外科手術を冨士森良輔先生他・レーザー治療を大城俊雄先生他・皮膚科診療を宮地良樹先生他に師事
眼瞼下垂症手術、耳介形成手術、皮膚レーザー照射療法等を専門領域としている