初診時にすぐ手術を引き受けなかったわけ




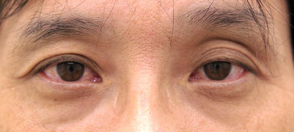
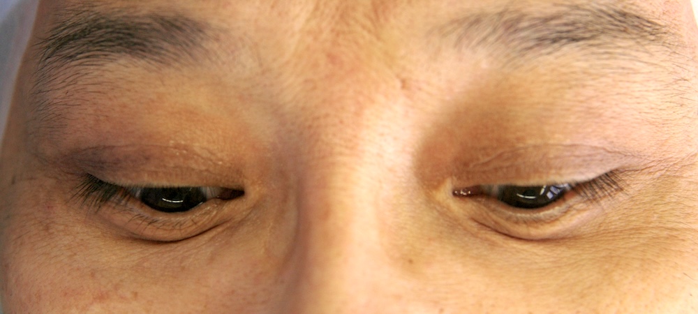
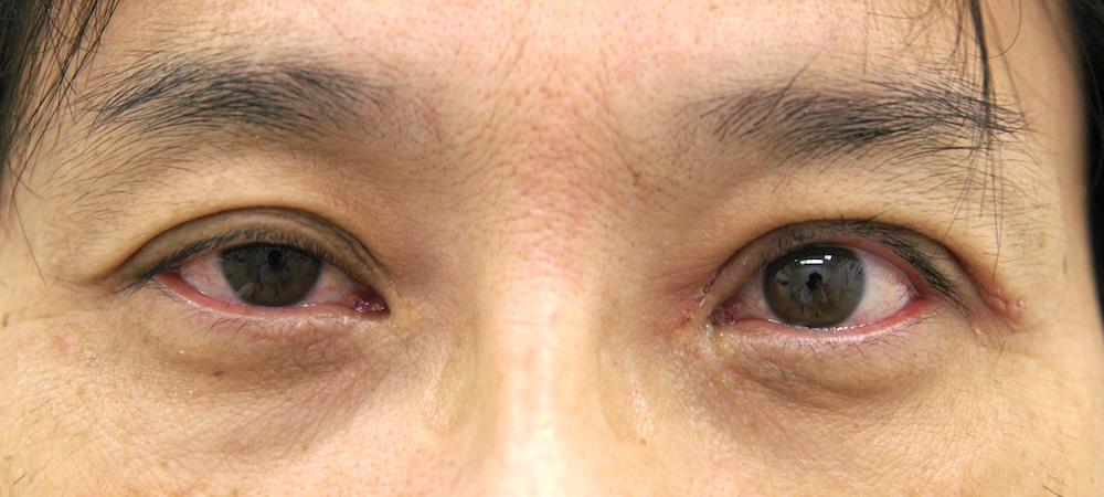
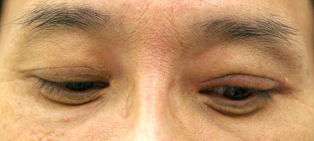
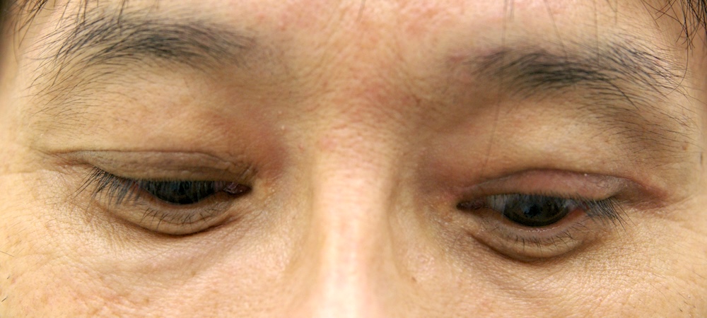
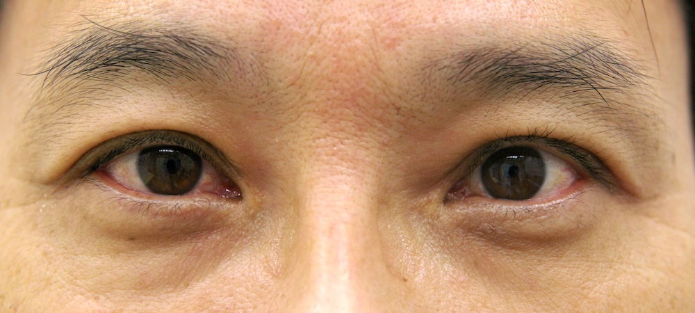
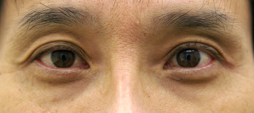
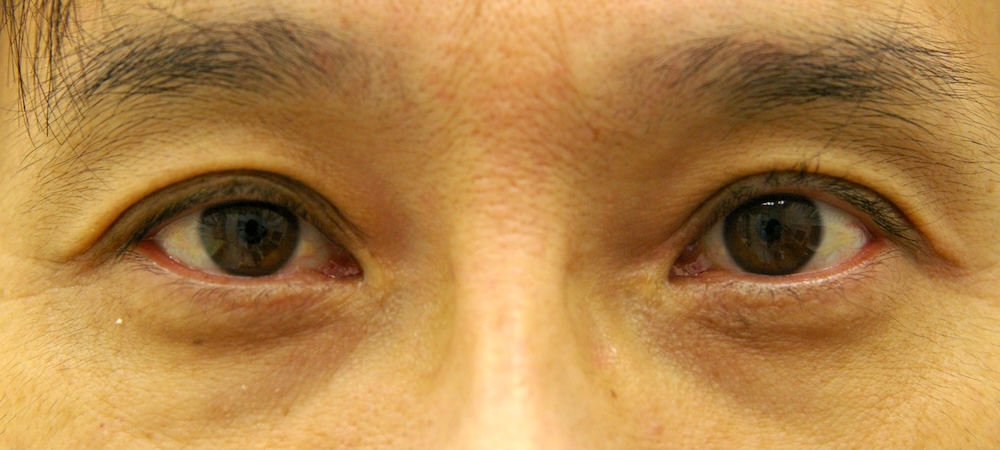
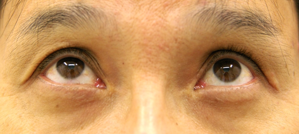
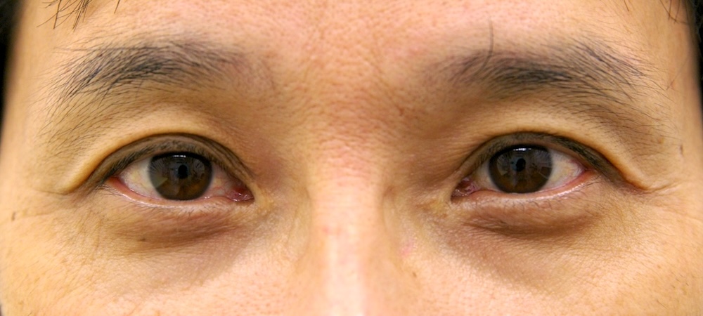
49歳男性。「目が開きにくい、左瞼の上が窪んできた」という訴えでご相談がありました。一見したところ、以下のような症状が見て取れます。左>右の程度の差がある軽度の両側眼瞼下垂症と診断できます。そこで眼瞼下垂症の種類を明らかにするため詳しく問診を進めます。

コンタクトレンズの使用経験はなく(分類基準2-5)コンタクトレンズ眼瞼下垂は否定できます。年齢的に(分類基準2-1)老人性(退行性)眼瞼下垂も否定的です。
初診の少し前に某病院で左目の緑内障の手術を受けておられ、術後に同病院眼科で眼瞼下垂を指摘されたとのことなので(分類基準2-6)内眼術後眼瞼下垂に当てはまる可能性があります。しかし、精神科で精神安定剤「デパス」の処方を受け内服中でしたので(分類基準3-7)向精神薬内服中の眼瞼下垂症状の可能性があり、この除外のため「デパス」を処方したクリニックに一度相談するよう勧めました。また全身性のアレルギー性皮膚炎があり眼瞼にも皮膚炎症状が出ているため、訴えのない右側にも軽度の下垂症状が現れていることと合わせ(分類基準3-3)眼瞼皮膚・結膜の慢性炎症に続発する眼瞼下垂症状も疑われました。これについては血液検査等で精査する必要があると考えました。
軽度の甲状腺機能亢進症を疑わせる所見もあり(分類基準3-2)甲状腺機能亢進症に続発する眼瞼下垂症状も除外が必要ですし、初診時に左右差がある場合にはごく軽症の(分類基準1-1)単純先天眼瞼下垂症が見逃されていた可能性もあります。
複数の原因が疑われる場合は、それぞれについてきちんと診断がつくまで、安易に手術を引き受けるべきではないと考えています。
眼瞼下垂症状の診断(編集中)
重要: 医療は、まずきちんと診断し、それに基づいて治療計画を立てることが基本です。ところが普段「病気ではない」患者さんを対象としている美容外科では「診断」の根拠がはっきりしないまま患者さんの希望に沿って、本来病気を治療するはずの手術が安易に行われてしまうことがあります。
病因や病態を見極めることなく気軽に「眼瞼下垂症手術」を行うことは、時には危険を伴います。手術をしても意味がなかったり、してはいけない場合もあります。
美容外科医による眼瞼下垂症手術を否定するわけではありません。技術的に非常に綺麗な手術をする医師もいます。しかし、一般的に診断の部分が甘いため綺麗な結果が出ない場合も多いという印象を持っています。
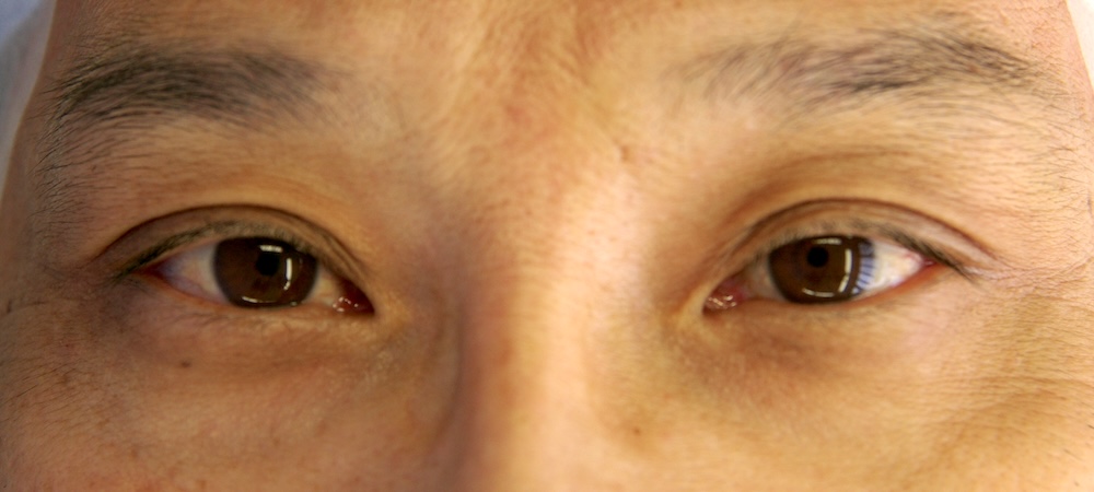
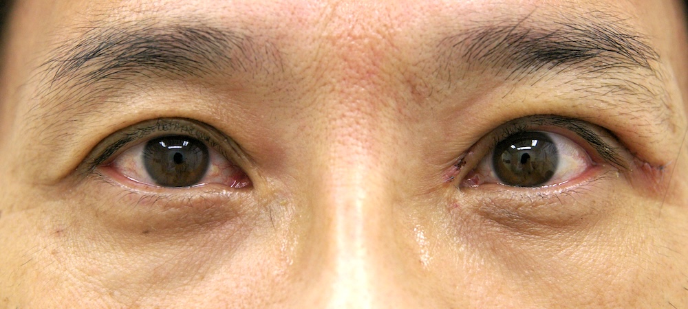
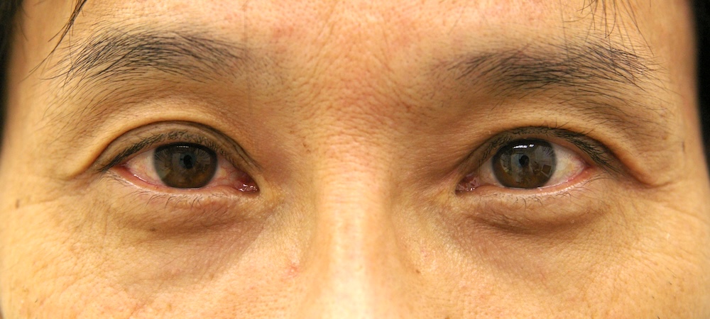
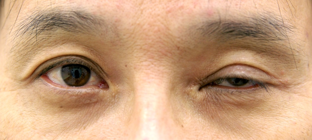
2年後に再診され、手術は右側のみとしました




精神科での経過観察等でデパスによるものは否定的で、その他の原因も概ね除外され、また緑内障手術後の眼科検診でも再度眼瞼下垂症を指摘されたため、(分類基準3-3)眼瞼皮膚・結膜の慢性炎症に続発する眼瞼下垂症状に(分類基準2-6)内眼術後眼瞼下垂を合併して左側の症状が増強したものと結論し、ご本人の希望もあり症状の強い左側のみを手術することにしました。
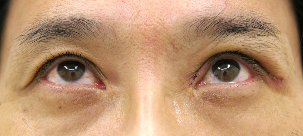
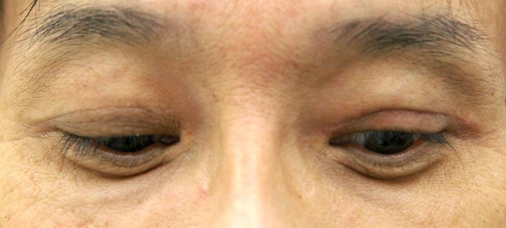
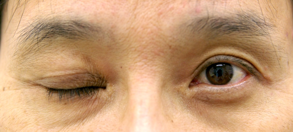
手術時の仰臥位の写真(手術台に寝て上方から撮影したもの)です。重力の影響が排除されているため眼瞼の陥凹は目立たず、左眉の挙上も目立ちません。下垂症状も軽減しています。左の瞼が重いため前頭筋を使って左眉をあげ、上眼瞼挙筋の過緊張のため眼窩脂肪が奥に引き込まれていたことがわかります。眼瞼挙筋の位置を調整することでこれらの症状を緩和できます。
挙筋前転法で改善するかがポイント
後天性眼瞼下垂では実際には色々な初見が混ざり合いなかなか確定診断に至らないこともあります。そうした場合、その症状が「眼瞼下垂症手術」で改善するか悪化しそうか、が一つのポイントになります。手術をすることで悪化することが予想されれば他の治療を優先します。思い切って手術をしてしまった方がいいと判断できれば、術後に別の治療が必要になる可能性も説明した上で手術をお引き受けします。
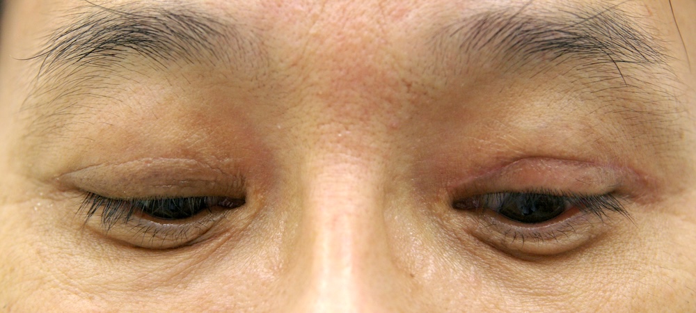
手術翌日の様子


術後1日目です。固定ガーゼを外した直後のため跡がついています。処置ベッドに寝たまま斜め上方から撮影しているので写真がやや斜めになっています。昨夜仕事でパソコンを長時間使用したとのことで、瞼の腫れは通常より強めです。この後、寝たままで瞼のふちのみに幅数ミリの粘着テープを貼って腫れと内出血の軽減を図り、洗顔を許可します。
瞼の筋肉を強めに前転しているので、目を開いた時は睫毛がやや上を向き吊り上がっています。皮膚のたるみを切除したため、切開の傷が目尻側に伸びています。また、目が閉じにくく、閉じようとすると2ミリ程度のギャップ(隙間)ができています。このギャップは眼瞼挙筋と目を閉じる眼輪筋との力関係が変わったために生じる一時的なもので、通常は1週間程度で改善してきます。
もともと眼瞼挙筋の力が弱い先天性の場合は、ピッタリ閉じるまでに数ヶ月かかることもあります。大江橋クリニックでは、早い回復を援助するため眼輪筋トレーニングなどの指導を行っています。
手術後4日目の様子




4日目にはだいぶ腫れも軽減しました。糸はついたままですが、少し離れれば他人には気づかれないレベルです。
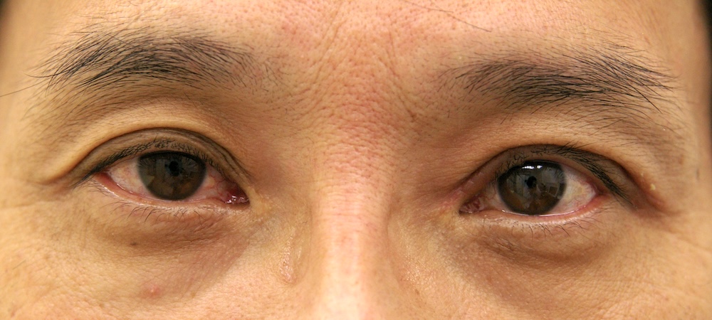
一般的に男性は皮膚が厚いため皮下出血が目立たず、回復が早い傾向があります。とはいえ瞼全体はまだ腫れており、閉瞼もできません。下方視すると眼瞼後退症状が出て瞼が下に十分降りないことがわかります。しかし、正面視、上方視ではほとんど左右差なく、両目ともぱっちり開いています。左眉も下がり、目を開けるのが楽になってきました。
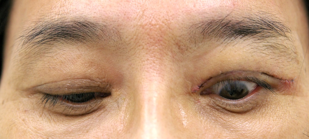
術後7日目に予定通り抜糸を行いました




7日目に抜糸した際の写真です。糸を抜いた後なので少し瞼が赤くなっています。腫れはだいぶ引いてきました。左が眉を上げなくても楽に開くようになったため、目を開けようとする力が減って、今まで目立たなかった右の眼瞼下垂が顕在化してきました。左の眉が下がるのと反対に右の眉が少し上がり、開瞼時の角膜露出も右側が少し減少しています。
下方視の際の眼瞼後退はやや改善し、閉瞼時のギャップも少なくなって、もうじききちんと閉じられそうです。
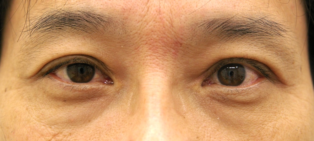
術後18日目の状態です:右側についてはまだ様子を見ることにします




手術した左目はほとんど閉じられるようになりました。うっすらと1ミリ以下のギャップが見られます。下方視での眼瞼後退も左右差が目立たなくなりました。左側の開きにくい症状は全くなくなり、むしろ右側の方が鬱陶しくなってきたと訴えがありました。
眼瞼下垂症の手術後のむくみや筋肉の動きが安定してくるまでには通常3ヶ月以上かかります。右側の下垂症状が気になりますが、手術による改善度を予測するにはもう少し時間が必要です。通常は反対側の手術を行なってから半年程度待って判断します。
術後1ヶ月目の状態です




まだ傷跡ははっきりしており、瞼縁の腫れもあります。しかし左目はほぼ完全に閉じられるようになり、下方視の際の眼瞼後退も目立たなくなりました。
右側の下垂症状はやや目立たなくなり、上眼瞼の窪みや眉の上がり方、上方視の際の角膜露出も左右差がなくなってきました。目の周囲の筋肉の動きが自然になってきたと思われます。しかし上方視の際には右側のみに軽度眼瞼下垂の特徴である三白眼の兆候が見られます。右側の方が開瞼に力が入っていることを示します。このまま引き続き経過を見ていきます。
術後1.5ヶ月目(43日目)には少し変化がありました




さらに2週間経ちました。この日は少し意識して目をぱっちりと見開いているようです。そのため開瞼時の左右差は目立ちませんが、症状は不安定で特に上右図のように閉瞼時に瞼がやや閉じにくいようです。
このように、術後1〜3ヶ月の間は症状に動揺があり、日によって瞼が腫れたように感じられたり目が開きにくく感じられる時もあります。
術後2ヶ月目(57日目)




術後およそ2ヶ月経ち、日々の変化は目立たなくなってきました。ご本人の自覚的には左目がやや閉じにくい感じが残っているようです。
右目は少し下垂気味ですが日常生活には特に支障はなく、今の所右側の手術をする希望はありません。
術後62日目:前回受診の5日後です


瞼が腫れて重たい感じがするとのことで臨時の受診です。眉間の赤みも普段より強く、お顔全体も少しむくみが見られます。
瞼はやや分厚く感じられます。術後経過に異常はなく、むくみ症状につき皮膚科的診察でお薬を処方しました。
術後2.5ヶ月目(81日目)




本日は特に問題なく、他のご相談のついでに経過写真を撮らせていただきました。(傷跡やAGA、脱毛、皮膚炎などいろいろなご相談で経過を見させていただいています)
経過は順調で、特に上方視ではほとんど左右差が見られません。
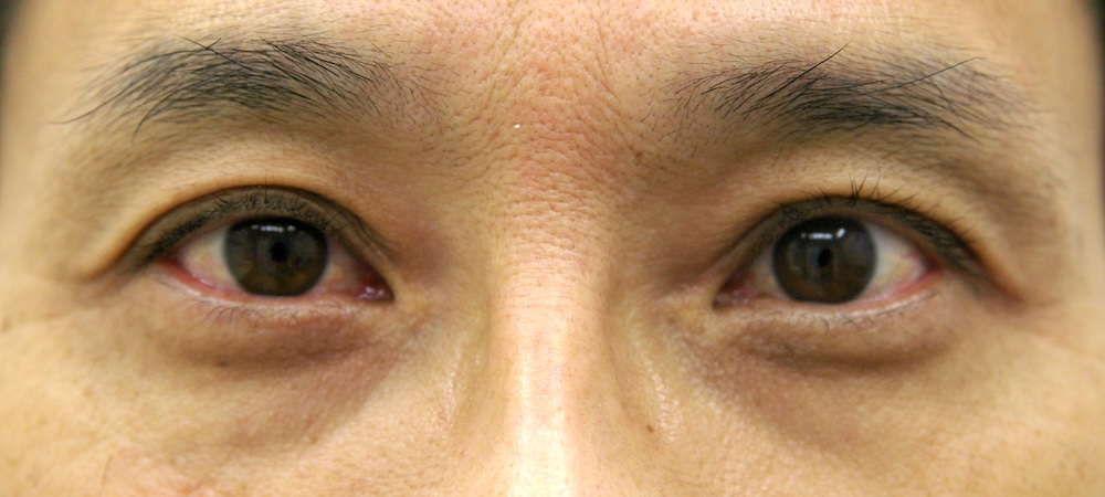
術後3ヶ月目(96日目)




術後3ヶ月経過しました。手術しなかった右側の下垂症状がわずかにあり、眉も右側が上がっています。
日常生活に支障はなく、経過は順調ですので、通常であればこれで治療を終了します。しかし、他のご相談で通院中のため、今後も折に触れて経過を見せていただくことにします。
ここで術前と術後3ヶ月の時点での症状を比べてみます
下の写真は微妙な大きさを揃えるため、Photoshopを使用して傾き調整などを行なっています。
左側の術前の写真にマウスでカーソルを合わせると、術後写真に変化し、術後との比較ができます。眉の位置が変化していることがよくわかります。
右側の写真では、術後に瞼がきれいに閉じている事が確認できます。傷痕はやや目立ちますが、位置の左右差はあまりないので不自然ではありません。


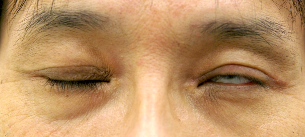
ウィンクしてもらいました

眼瞼下垂症状を訴える患者さんにはウィンクができない方が多いのですが、挑戦してもらいました。ウィンクするためには、まず目を開けておくために両側の眼瞼挙筋を緊張させたまま、片側だけ目を閉じるための眼輪筋を緊張させる必要があるため、片側の眉が大きく下がります。こうすると眼瞼挙筋を前転した影響で瞼は閉じにくくなっているが、眼輪筋が強化されて目を閉じているのだということがよくわかります。
その後の経過には特に大きな変化はありません。
術後4ヶ月目




術後4ヶ月経過しました。手術しなかった右側の眉が徐々にですが上がってきています。
術後5ヶ月目




術後5ヶ月経過しました。目立った変化は見られず落ち着いています。
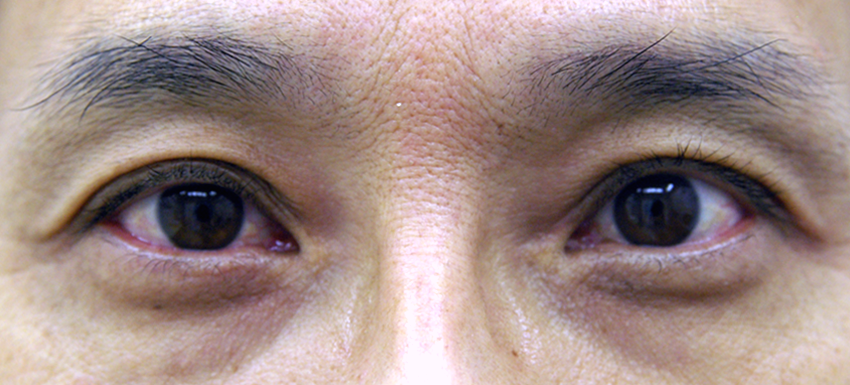
術後7ヶ月目






術後7ヶ月経過しました。ほぼ自然な状態です。手術した左側の瞼の厚みが気になるとのことですが、外見上差が認められるほどではありません。
今回もウィンクをしてみてもらいました。やはり左目は閉じにくいのですが、眉が下がらなくなってきており、あまり力を入れなくても自然にできるようになってきていると思われます。
術後10ヶ月目




術後10ヶ月経過しました。瞼に関しては全く気になることはないとのことで、これ以後は写真撮影を行わないことにしました。
このあと1年間ほど鼻の形や傷跡などのご相談で通院されましたが、瞼に関しては術後1年で診察終了となりました。
右側の眼瞼下垂症に伴う手術
最終受診日から7年後に、右瞼が重いので手術をしたいと来院されました。受診当時の年齢は60歳です。
前回手術した左瞼に関しては下垂症状は全くなく、手術の効果は保たれているようですが、眼窩脂肪の減少による上眼瞼の陥凹が著明です。右瞼は重瞼線の乱れがあり、上方視で眉が上がり、角膜の露出もやや少なく眼瞼下垂症上が以前よりはっきりしてきています。
60歳という年齢から(分類基準2-1)老人性(退行性)眼瞼下垂に当てはまらないことはありませんが、以前からの経過と現在の強い皮膚炎症状から、(分類基準3-3)眼瞼皮膚・結膜の慢性炎症に続発する眼瞼下垂症状が悪化してきたと考えられます。当院の診察終了後に皮膚炎のコントロールが不十分となり、花粉症・アレルギー性皮膚炎が悪化して目を擦るなどの機会が増えたことが考えられます。
軽症の(分類基準1-1)単純先天眼瞼下垂症が見逃されていた可能性も残っています。いずれにしても前回左側に対して行なった手術と同様な手術で改善が見込めそうです。左側に関しては眼瞼挙筋の再固定は必要なさそうですが、眼窩脂肪の位置が変わっているので可能ならば脂肪の位置をずらし再固定することで左右の対称性を調整できるかもしれません。前回左側の皮膚は少し切除しているため、左右で皮膚量に3ミリほどの差がありますが、左側の皮膚も少し伸びてきているため改めて両側の皮膚を定量してたるみをとることも考えに入れて手術します。
術前




手術当日
手術時の仰臥位の写真(手術台に寝て上方から撮影したもの)です。瞼には仮に計測したマーカーの点がついています。消毒後にもう一度計測して切開・切除範囲を決めますがその前に目分量でおよその目印をつけておきます。
重力の影響が排除されているため眼瞼の陥凹は目立たず、右眉の挙上も目立ちません。下垂症状もやや軽減しています。初診時の皮膚炎は治療でだいぶ落ち着きましたが、炎症の赤みが引くと同時に強い色素沈着が生じてきました。強力に皮膚炎をコントロールしていかないと、術後の腫れが長引きそうです。


まず右側から手術開始し、仕上がりの程度に応じて左側を調整することにしました。皮膚炎が長い間続いたため真皮の構造が脆弱になり、表皮は逆に硬くて分厚くなった角層でメスが滑り切開しにくいと記録されています。挙筋腱膜は非常に薄くずり上りも大きく、先天性の眼瞼下垂に腱膜性が加味されたものと思われました。眼窩脂肪はほとんど見当たりませんでした。
左は再手術となるため瞼板を含め瘢痕組織が固くなっていましたので、出来るだけ瘢痕を切除し筋膜は瞼板に再固定しました。こちらは腱膜があつく先天性の眼瞼下垂を疑う所見はありませんでした。右側の先天性眼瞼下垂の筋膜は薄いため前転を多めに取りましたが、これと合わせるため左側もやや前転を強化することにしました。
手術翌日の様子




翌日の仰臥位です。ベッドに寝た状態で横から撮っていますのでやや斜めに写っています。右目のほうがやや大きく開くようです。
上方視、下方視とも今はあまり目が動かない様子ですが、視力に障害はありません。
手術後4日目の様子




4日目になりました。前回の手術と比較すると前転をしっかりとしたためか不自然な感じがします。
左は再手術のため瞼の窪みが目立ちます。右は現時点ではやや開け過ぎに見えます。しかし閉瞼時のギャップはさほど大きくなく、下方視の眼瞼後退もそれほど目立ちません。いずれにせよ抜糸前の腫れはかなり個人差、状況差があるので、もう少し経過を追うことにします。
手術後6日目(抜糸)




6日目に抜糸しました。前転を強めにした右側が過矯正になったため、眉がすとんと下がりました。前頭筋を使わなくなったためで、本来はこの位置が眉の定位置です。
左は再手術のためと、慢性の皮膚炎が強かったため糸を抜いた後が点々と赤く腫れて凸凹しています。どちらも想定していた以上の強い反応で、落ち着くのに時間がかかりそうです。
手術後19日目(およそ2.5週)




2回目の手術ということもあって、受診間隔がやや不規則になっています。きちんと1週目、2週目、3週目と規則的に規則的に受診していただけると、経験と照らし合わせて治り方が順調かどうかがわかるのですが、今回は判断が難しい状況です。
右は相変わらずやや開きすぎ(オーバーコレクション)ですが、だいぶ自然になってきました。しかし皮膚の調子がかなり悪い時の手術だったため、やはり回復は前回より遅いようです。左側は時々眉毛が上がり、上眼瞼の窪みも目立ちます。内部の瘢痕が癒着する可能性もあり三重瞼にならないように気をつけてみていく必要があります。
手術後およそ1ヶ月(33日目)




術後1ヶ月です。鬱陶しい感じが取れ、左右差も改善してきました。
左上眼瞼の窪みも改善し、上方視ではまだ右がやや開きすぎるものの違和感は無くなってきました。目尻の皮膚のたるみは予想以上に眉が下がったためのものですが、半年ほど様子を見て気になるようなら皮膚だけを切除できます。
手術後およそ2ヶ月(68日目)




術後2ヶ月です。時々左上眼瞼が窪むとの訴えがあります。右の角膜(黒目)がほぼ完全に露出し、左に比べるとやや開きすぎですが、日常生活での支障はありません。
下方視では眼瞼後退が右に見られます。筋肉の伸縮度が左より悪いことを示し、やはり右側は先天性の眼瞼下垂があったのではないかと疑わせる所見です。
手術後およそ3ヶ月(96日目)




術後約3ヶ月です。左右ともピッタリ閉じられるようになり、ドライアイ症状も無くなりました。強めの前転を行うと、目が閉じられるようになるまで約3ヶ月くらいかかることがあります。
右はやはりややオーバーな仕上がりで角膜(黒目)の上に僅かに白いところが見えますが、普段の生活では特に開きすぎて不自然と感じられることもなく順調です。
手術後およそ4ヶ月(126日目)




術後約4ヶ月です。傷の硬さが取れ、瞼のカーブがより自然になりました。しかし大きな変化はありません、特に支障なく順調です。
手術後6ヶ月(189日目):治療終了




術後6ヶ月たち、特に日常生活に支障もなくなったので本日で治療終了です。右側がややオーバーな仕上がりで、少し見開いた感じがありますが、特に問題ないとのことでした。
6年後にまた瞼が重いと訴えて来院しました
前回の最終受診日から6年後に、両側の瞼の上が窪み重たい感じがするとのことで受診希望の予約フォームが届きました。受診年齢は66歳です。
拝見してみると、前回手術してから6年半経過していますが両側とも眼瞼下垂症状は全くなく、手術の効果は保たれているようです。
両側ともに眼窩脂肪の減少による上眼瞼の陥凹が著明ですが角膜の露出状態は正面視、上方視とも左右差が全く無くなり、6年前の術後にあった右瞼の過矯正は年月と共に自然に修正されたようです。




左眉がやや上がっていますが、瞼の重さにつながる症状ではなさそうです。
最も目立って気になるのは陵瞼周辺を中心に顔面全体に生じている強い色素沈着です。腎機能障害、全身性の皮膚炎があります。最近強い脱水症状で入院されたとのことでスクリーニングしたところやはり甲状腺機能の亢進があり、以前からかかりつけの病院に全身を総合的に見てもらうようにお話ししました。
推測ですが甲状腺機能亢進症に伴う眼窩脂肪の減少で、以前の手術の際に生じた瞼の内側の瘢痕が、瞼の開閉に伴って眼球に接触し引っかかるような感覚を生じるのではないかと判断しました。手術による改善の可能性は低く、特にできることはないため診察のみで治療は終了としました。
様々な眼瞼下垂症の初回・修正手術をはじめ、瞼のたるみの改善、瞼のできもの切除など、瞼の形を損なう様々な原因をとりのぞき、瞼をきれいに整える手術を得意としています。
症例写真には仕上がりの良いものではなくさまざまな経緯と特徴のある患者さんを選んでいく予定です。
もちろんこういったサイトの常として、症例写真には(リスクや合併症の説明をする必要がある場合を除き)ご本人も納得されている患者さんの写真を使用します。患者さんによっては残念ながら左右差が残るなどご希望通りに仕上がらないこともあります。骨格や皮膚の状態、前医の手術後の傷の程度などによっては、再手術を行ってもきれいに修正できないことすらあります。
大江橋クリニックでは、たとえ条件が悪くともそれなりの結果が出せるよう、それぞれの患者さんに対して真剣に向き合って治療しています。
眼瞼下垂の診察と治療について
大江橋クリニックでは眼瞼下垂症の診察・治療は自費診療とさせていただきます。
眼瞼下垂の診断・手術を希望して受診される患者さんのおよそ7割以上は「眼瞼下垂症」の症状がありません。まぶたが細く見える、あるいは肩こり・頭痛がある、などの症状だけでは眼瞼下垂症とは言えないことが多いのです。もちろん何らかの「症状」はありますが、それが眼瞼下垂とは結びつかないことが多いです。(他院の術後、不満足な仕上がりなどで相談される場合なども、眼瞼下垂の症状「だけ」は治ってしまっていることがあります。)
特に多いのが加齢等による「まぶたのたるみ」と「生まれつきのひとえまぶた」です。これは病気とは言えず、「たるみ取り手術」「重瞼(ふたえ)手術」の適応になります。大江橋クリニックではこうした美容的な手術を行う際にも必要があれば眼瞼挙筋腱膜を固定する手術を追加して行っています。逆に眼瞼下垂症の改善を優先する場合でも十分に美容的な側面を考慮して行い皮膚のたるみを切除したり重瞼幅の調整などを行います。両者の手術法に特に違いはありません。
健康保険の対象となる挙筋前転法の眼瞼下垂症手術は、大江橋クリニックの行っている手術を構成する手順の一部であり、当クリニックでは一般的な眼科や形成外科等で行っているものより総合的でグレードの高い手術を行なっております。
大切なご注意
もちろん手術ですからダウンタイムもリスクもそれなりにあり、回復までの時間にも個人差がかなりあります。
また元の症状の違いによって誰でも左右差なく綺麗に治るという保証はありません。特に、眼瞼挙筋の力が生まれつき左右で違う先天性の眼瞼下垂では、一度の手術で左右差を完全に無くすことは難しいものですし、筋肉の動きが悪い場合には「ぱっちりあけてしまう」ことで逆に「目がつぶれない」という症状が悪化してしまうため、ほどほどの改善で我慢しなければならないこともあります。
患者さんの日常生活で何が困るのかを考慮せず、単純に「ぱっちり開くように」手術され、術後のフォローも不十分なため苦しんでいる患者さんも時々見られます。手術後は眼瞼挙筋だけでなく目の周りの多くの筋肉が今までと違う動きをするようになるため、人によっては術後の「筋トレ」が必要になったり、落ち着くまで数ヶ月を必要としたり、視線を動かす時に不自然にならないように練習しなければならないこともあります。
手術とは、そうした術後管理も含めて一つの治療です。手術したらそれで終わりではなく、術前から術後まで長い時間かけて良い結果を得るよう努力することで、初めてその手術が成功したと言えるのです。