重瞼(ふたえまぶた)の手術
〜 Double Eyelids 〜

大江橋クリニックで行った重瞼手術症例の一部

下の2段は埋没法、他は切開法による
経過や手術の詳細は別に記載します

切開法が基本です

大江橋クリニックでは、眼瞼(まぶた)の形を自然に整える
ふたえ瞼の切開手術(切開法による重瞼手術)を行っています

切開法による重瞼術は最も基本的な術式です。
すべての人に適応があり手術結果も安定しています。

※ 従来重瞼手術の説明は、一般的な配列にならい、埋没法→小切開法→切開法の順番に記述していましたが、上に書いてあるほど簡単で安い、お手軽な手術であると誤解される危険があるため、掲載順序を変更することにしました。
埋没法や小切開法は適応に制限のある術式で、万人向けではないと考えています。

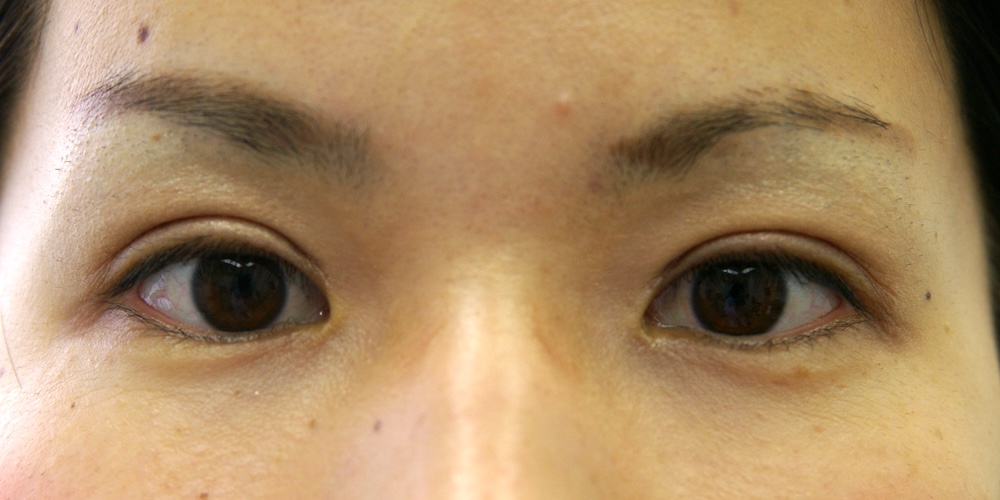
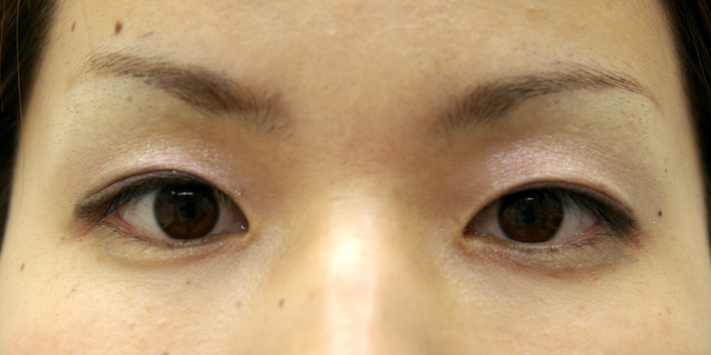
まぶたの形は人によりさまざまです。基本的には生まれつき存在するラインを尊重した方が顔全体のバランスが取れますが、目頭の部分は切開線の開始位置によって印象がだいぶ変わります。

症例は他院で3年前に重瞼幅の狭い埋没をしたが、目頭が末広型に近くなったため、重瞼幅は細いまま切開法でやや平行型に修正し、合わせて少 しまぶたをスッキリさせてまつげを心持ち上に向けています。

いわゆるくい込みとラインの硬さについて:

切開法で作る重瞼ラインの上下に眼輪筋組織をどの程度残すかによっていわゆるラインの「かたさ」「くいこみ」の程度が決まります。
かたさは、くっきりした感じ、自然な感じ、という微妙な感覚的な表現になってしまうのですが、事前に十分ご相談下さい。

脂肪切除について: それは本当に脂肪?

重瞼手術の際に脂肪を抜いて欲しいという方がありますが、本当に過剰な眼窩脂肪のために瞼が膨れている方はむしろまれで、眼輪筋の肥大の場合が多く、また白くぬるぬるとした瘢痕組織や結合織が充満していたり、涙腺が下がってはみ出しているために腫れて見える方が見られます。
どの組織をどの程度とるかは術者にお任せいただきたいと思います。

俗に「ハム」と呼ばれる術後の長引く瞼縁の腫れの原因

まれに、術後の腫れが長引き、特に瞼の縁の部分が盛り上がって数ヶ月引かない事があります。
原因には様々な事が考えられますが、通常その本体は過剰な瘢痕組織であり、瞼の肥厚性瘢痕と考えられます。ケロイドなどと同じくアトピーなどのアレルギー体質の方に多い印象があります。
高脂血症や栄養バランスの偏りなどのため術後に皮下出血を起こしたり、繰り返した再手術のためにもともと瘢痕が多く、すべて切除しきれなかったような場合にもよく起こるように思います。
このほかタバコ、利尿剤、皮膚のマッサージ、過度のアイメイクなどが影響するのではないかと考えています。
腫れは長い人では4〜6ヶ月程度続く事もありますが、徐々におさまりますので、気にして触りすぎない事が大切です。
大江橋クリニックでは、術後に美容レーザーをフルフェイスで照射するなど、腫れが速く引く工夫をしています。

埋没法が向いている人もいます

適応: 瞼が薄く、皮膚が弛んでいない人に向いています

瞼が薄く、アイプチ等で簡単に二重になる方、ピンセットの先などで押すことでラインを簡単に作れ、まばたきしなければラインが崩れない方が対象となります。
それらの方法ではラインが作れない方でも、この術式を用いることはできますが、その場合ラインは長持ちせず、いずれはとれるもの(1〜2年はもつが永続性はない)とお考えください。

長年アイプチを繰り返して皮膚が伸びてしまっている場合や、瞼の皮膚が厚く、瞼板の前に脂肪がおりてきている場合は、一時的に二重になっても、よい形を保つのは難しくなります。

切開せずに簡単に重瞼ラインを作れる方法として広まった術式ですが、一般にはいろいろと誤解があるようです。

若い患者さんの症例:まだニキビの目立つ10代の学生さんです。初診時はニキビのご相談でしたが、約1ヶ月の治療でニキビが軽快したため、埋没法で重瞼を行うことにしました。瞼は比較的薄く、たるみもわずかなので、切開法よりもダウンタイムの少ない埋没方を選択しました。術後写真は手術翌日(術後1日目)です。糸の跡がまだ目立ちますが、目を開けていれば不自然ではありません。

↓細い重瞼を希望した症例:埋没法で末広の細い重瞼を希望されました。ダウンタイムを嫌い埋没法で行いましたが、腫れが引くと奥二重に近い地味な二重になることをご説明した上で手術しました。
上段左から 術前>術直後;
2段目 術後1日>3年後
3段目は 術直後>術後1日>3年後の瞼の傷跡です。
アイホールが狭く弛みもあまりないので、内出血さえ出なければ翌日から普通に生活できます。3年後にやや幅を広げたいと切開法の相談に来られた時に、術後写真をいただきました。

↓瞼に弛みがある症例:一重瞼ですが瞼が厚く、軽度の眼瞼下垂と皮膚の延長(たるみ)もあるため、本来埋没法には向いていない瞼です。ダウンタイムや費用の問題もあって敢えて埋没法を選択した患者さんの例です。
上段左から 術前>術後3日目>術後半年;
下段は 術前>術直後>術後3ヶ月>術後半年
の写真です。重瞼ラインを細目に取っているので、厚い瞼はかなり腫れるということを納得いただければ翌日から普通に生活できますが、皮膚のたるみが取れていないので二重にはなっているもののぱっちりとした明るい感じにはなりませんでした。
きちんと定量して皮膚を適切に切除し、眼瞼挙筋の前転を行っていればかなり印象が変わったと思います。

埋没法は仮止めと考えた法が良い?

まぶたの組織が薄く、形のつきやすい場合には、埋没法でもきれいな重瞼を作ることが可能です。
腫れも少なく、不幸にして内出血が強く起こりさえしなければ、手術直後からあまり目立たないものです。通常はガーゼも貼らずそのまま帰宅できます。
ただし、角膜(黒目)にあたる部分に埋没糸を通した結膜の傷が触れることもあり、目の中がゴロゴロした感じは翌日まで続きます。
糸の上を結膜組織が覆ってしまえば通常違和感はほとんどなくなります。
厳密には腫れは3ヶ月以上にわたって続き、重瞼幅は徐々に狭くなります。安定するのに1年以上を要することもあります。まぶたの形によっては数年でいわゆる奥二重になってしまいますが、10年以上形が変わらずきれいに保たれる方もいます。

切らないことは難しいことだと知ってください

もともと「切らなくてよい」ということで、それまで標準的な術式であった切開法に取って代わった術式ですが、切らないということは術者にとって瞼の中の構造が目に見えないという事です。
瞼の手術経験の少ない医師にとっては手探りでやっているに等しく、切開法よりもずっと「思った通りになりにくい」手術です。医師選びは重要です。

某チェーン店クリニックでは、埋没法を切開法の前に習うということを聞いたことがあります。その場合、新米の医師は、瞼の内部の筋肉の走行も血管の位置も実感として理解できないまま手術を行なうことになります。良い結果が出る方が不思議というものです。

特別な糸を使うから手術料が高い、は本当か

手術に使う糸の中には、確かに1本数千円以上する高いものもあります。しかしおそらく何万円もするものはないと思います。(特別な色素で染めて近くに寄っても目立ちにくい色の縫合糸を小ロットで作ってもらったこともありますが、それでもそんなに費用はかかりませんでした。)
埋没手術の結果を左右するのは糸の太さと、糸をかける位置であり、アレルギーなどを起こさない材質であればナイロンであろうとポリエステルであろうと新素材であろうと非吸収性の合成モノフィラメント糸であれば材質にはあまり関係はないのではないかと思います。安い糸が特に切れやすいということもありません。
確かに柔らかさや伸びはメーカーによって違い、同じ号数でも太さもまちまちですから、術者にとって結びやすい糸、縫いやすい針はあると思いますが、それならば術者は常に自分にとって最も使いやすい材料を使用すべきで、コストの安い材料を使ったから上手くいかなかったなどと手術結果を糸のせいにするのは、医療者として褒められたことではありません。
患者さんの、良い結果を得たいという気持ちにつけ込んで、より高い手術法に誘導する手段に過ぎないのですから、騙されないようにしましょう。(M社製の糸を使用するだけで手術料が数万円高くなるクリニックもあるようです)

術式の名前に惑わされないように

いわゆる1点法、2点法などといわれる方式は糸の数や結び目の数を示すのみで(しかも施設により呼び方が違うことは下の欄参照)、それぞれの糸をどのように瞼に通し、どのように結ぶかにはかなりのバリエーションがあります。
糸のかけ方によっては、糸の数を増やしてもそれぞれの糸がすぐ外れるため効果が出ない場合があります。
いわゆる瞼板法・挙筋法といわれる方式も一つの術式のバリエーションに過ぎません。それぞれの医療機関は集客のため、特殊な方法であるかのごとく宣伝しますが、そのほとんどは古くから行われている方法にわずかに工夫を加えたものです。そのようなことは経験のある医者なら誰でもできることです。
埋没法では糸の締め方(緊張のかけ方)と結膜側に出す位置を変えることによりラインの感じを変えることができます。
瞼板法は眼の中に糸が出て来て障害を起こすなどと言われることがありますが、きちんと処理してあればそのような事故はほとんど起こりません。事故が起こる原因のほとんどは、術式ではなく糸の締め方や結び方が不確実なために起こります。
いわゆる抜糸法、ビーズ法、溶ける糸での埋没法などは瘢痕化が強く起こるため、くっきりとはしているがやや不自然な重瞼に仕上がることが多く、歴史的には廃れてきた術式です。
より洗練された手術法が普及した現在、わざわざそうした古い方式をとる必要はないと考えています。
瞼の中に糸が残るのを嫌い、溶ける糸での手術を希望されたり、あるいは形が落ち着いたからと抜糸を希望される方がいますが、通常よく用いられるナイロン糸の場合も、ごく稀なナイロン糸アレルギーの場合を除き術後に瞼の中に糸が残ることはほとんど問題がなく、糸を抜くために小切開を加えたりするならば埋没法のせっかくの利点がなくなってしまいます。

1点法・2点法・3点法・・という名称について

これは3点法?6点法?
神戸花時計クリニックより引用

この施設では2点法と呼んでいますが‥
神戸花時計クリニックより引用

この施設では4点留めと呼んでいます
ヴェリテクリニック名古屋院のブログより引用

1点法・2点法・3点法‥最近では6点法などという施設もありますが、左の資料をご覧いただけばお分かりのように、ある施設の2点法が別の施設では4点法と呼ばれていたりします。
1本の糸をループにして結ぶ場合、糸が1本なので1点法、あるいは結び目が1箇所なので1点法、と考えるのが常識的なような気もしますが、通常、瞼板・皮膚にそれぞれ2箇所の穴を開けるので2点法、と呼ぶ施設の方が多いようです。
また簡便な方法ということでクイック法と呼んでいる施設も有ります。
(皮膚に糸を出す回数を増やすことで糸一本でも3点法、などと呼ぶ施設も有ります。)
6点法と言っても、使用した糸の数を見ると施設により6本、4本、3本、2本、1本と様々でした。
一般論として数が増えれば固定が強力にはなりそうですが、施設が違えば比較は意味がないのではないでしょうか。

ビーズ法はなぜ廃れたか

いったん廃れたと思われていた「ビーズ法」という術式を、あえてやる医師が徐々に増えています。
これは患者さんの間で(5chなどの不確かなネット情報として)ビーズ法をやっている医療機関を探すという現象が起こったため、それに迎合した医師が「うちでもできますよ」と始めたものではないかと思っています。

ビーズ法も、いわゆる溶ける糸(合成吸収糸)を用いた重瞼術の一種です。重瞼ラインに沿って6カ所から多ければ10カ所も、瞼板と皮膚を溶ける糸で縫い、皮膚の表面にビーズを縫い付けるように糸を結ぶためこの名前がつきました。

炎症に伴う瘢痕化が強くおこるため、皮膚と瞼板が癒着して、重瞼ラインがしっかりとつきますが、非常に腫れる上にビーズが瞼の上に並んでいる間はとても人前には出られず、完全なダウンタイムになってしまいます。

なぜビーズを縫い付けるかというと、糸を直接皮膚の上で結んでしまうと、結び目が傷痕として皮膚の上に残り、白い点線を引いたようになってしまうためです。皮膚に傷痕を残さないために結び目にガーゼなどを挟む「ボルスター固定」という方法がありますが、それと同じ考え方です。

ビーズを挟まなければ傷が目立ってしまうほど強い瘢痕ができるから現在ではほぼ廃れたのですから、いまさら復活させるのも妙なものです。

※ ビーズ法を希望して他院で手術を受け、その結果に不満で修正の相談に来られた方もいます。その方は不自然にくっきりとしたできばえに不満で再手術を希望して受診されたのですが、ビーズ法とは元々そうしたもので、医師が下手な手術をしたわけではないようです。
間違いは、その方がビーズ法を「自然な重瞼を作る方法」と誤解したことにあったのです。手術した医師も、患者さんの希望とはいえ、手術結果についてもう少し具体的に説明すべきだったのではないでしょうか。

小切開法

症例準備中

適応:皮膚にたるみがなく、まぶたにやや厚みのある人向けです

埋没法では十分なラインが保てない場合、小切開法を用います。
脂肪をとったり厚みを調整するなどの切開法と同様な操作はある程度行えますが、皮膚を切除することはできないのでたるみのある瞼には向きません。

以前は時々行っていましたが、適応となる「弛みのない瞼」が非常に稀なため、最近10年くらいは行っていません。

編集中

内反症・外反症

睫毛が内側を向いて目に入って痛いいわゆる逆まつげには、1本ないし数本のまつげが、瞼のグレイライン(結膜と皮膚との間にうっすらと見える細い灰色のライン)より内側に生えている場合(睫毛乱生)と、生えている位置は正しいが方向が外側に向かわず黒目(角膜)の方にカーブしてしまう場合(睫毛内反)、更には瞼の構造そのものが内側にまくれ込んで、睫毛がすべて内側を向く、より重症な場合(眼瞼内反)などがあり、すべてを同一の方法で治療する事はできません。

大江橋クリニックでは自費で切開法を行ないます

埋没法類似の縫合法の場合、糸をかける位置の都合で中央部分は改善できるのですが目頭側と目尻側の矯正が十分にできません。上眼瞼の場合、所謂蒙古襞の内側や目尻のかぶさりの部分で睫毛が内側を向いている方が多く、埋没法ではここに影響が及ばないためです。したがって通常この方法で済む場合はあまりありません。
この症状が出るのはいわゆる一重瞼(ひとえまぶた)で蒙古襞の緊張が強い方が多いように思います。二重のラインで皮膚を切開し、余分な皮膚と眼輪筋を切除しますが、その際に蒙古襞を形成する靭帯を一部切断して緩めたり、目頭切開のように皮膚を入れ替えたり、睫毛の毛根部分を剥離して動きを良くしたりする必要があります。

逆まつげの手術を保険ですれば二重になると誤解している方へ

二重にする手術と同じであると誤解して、健康保険で二重の手術を受けようと、特に症状がないのに逆まつげだと言って眼科や形成外科を受診される方が稀にあります。
逆まつげの手術は二重の手術と同じように見えますが、手術に当たって注意するポイントが異なるので、必ずしも美容的に満足できるとは限りません。

美容の手術はきちんと美容目的である事をお互いに合意して行なう事が、無用なトラブルを避けるコツだと考えます。

編集中

他院重瞼術後の抜糸や早期の修正手術は原則的にお断りしています。手術を行った医師とご相談下さい。

糸を抜くことで症状が緩和されたり形が元に戻ったりすることは期待できません。むしろ新たな操作を加えることで症状が重症化する心配があります。

眼瞼手術の概要と経過

  1. 手術着に着替え、準備した内服薬を飲みます(術後のこともあります)
  2. 手術台に上がって仰向けになり、血圧を測ります
  3. テープでマスクや帽子を固定し、写真撮影と簡単なマーキングをします
  4. 顔の消毒をし、目の部分だけ丸い穴の開いたシーツをかけます
  5. 血止めの道具などをセッティングして準備します
  6. 片方ずつ(通常は右から)再度計測してインクで細かく印を付けます
  7. 目尻の外側の皮膚の表面から目頭に向けて徐々に麻酔の注射をします
  8. 印を付けた部分の皮膚をメス切開し、必要な幅を切除します
  9. 眼輪筋と瞼板前組織などを必要に応じて切除します
  10. 切開線の上下に糸を掛けて手術部位を展開します
  11. 高周波ピンセットを使い丁寧に止血します
  12. 必要であれば脂肪や瘢痕組織を切除し筋肉固定などの処理を行ないます
  13. 目の開き方を確認し、通常は目頭からナイロン糸で連続縫合します
  14. 反対側も同様に操作を繰り返します
  15. 瞼の縁と眉の間にガーゼを置き,テープで厳重に圧迫固定します
  16. 次回診察までテーピングをとらないようにお話しして終了します
  1. 手術当日はお顔が濡らせません。洗髪もお休みください
  2. 翌日一度診察し出血や異常のない事を確認します
  3. 腫れを防ぐため、手術翌日まで圧迫ガーゼを外せません
  4. 翌日の診察で圧迫ガーゼを外し軽いテーピングをします
  5. 当日よりも翌日の朝の方がまぶたは腫れます
  6. 問題なければ、テーピングのまま洗顔できます
  7. コンタクトレンズは約2週間お休みいただきます
  8. アイメイクは抜糸まで1週間程度お休みください
  9. お渡しする内服薬は必ずすべて飲みきってください
  10. マッサージやエステは腫れが引くまで行わないでください
  11. 万一糸が外れた場合はご相談ください
  12. 約1週間目に抜糸します。抜糸の日程は多少前後する事があります
  13. タバコは傷の治りを極端に遅らせますのでお勧めしません
  14. 食事の制限はありませんがアルコールは控えてください
  15. 腫れや傷跡の赤みは人により数ヶ月続く場合があります
  16. 腫れが引くと二重の幅は徐々に狭くなります
  17. 切開部分のへこみや傷は,徐々に目立たなくなります